Synovial Osteochondroma Elbow . synovial chondromatosis (also called synovial osteochondromatosis) is a rare, benign (noncancerous) condition that involves the synovium, which is the thin layer of tissue that lines the joints. Synovial chondromatosis can arise in any joint in the body, but most commonly occurs in the knee. synovial chondromatosis (osteochondromatosis or synovial chondrometaplasia) also known as reichel. the definitive diagnosis of synovial chondromatosis of the elbow joint requires a comprehensive medical history,. synovial chondromatosis (sc) is a benign uncommon condition of the synovial membrane of joints, tendon sheaths, and bursae that can result in. the elbow is the most affected joint in the upper limbs. 2 because the dominant elbow is more commonly. osteochondromas are benign chondrogenic lesions derived from aberrant cartilage from the perichondral ring that.
from drkmberry.blogspot.com
the elbow is the most affected joint in the upper limbs. 2 because the dominant elbow is more commonly. Synovial chondromatosis can arise in any joint in the body, but most commonly occurs in the knee. synovial chondromatosis (also called synovial osteochondromatosis) is a rare, benign (noncancerous) condition that involves the synovium, which is the thin layer of tissue that lines the joints. synovial chondromatosis (osteochondromatosis or synovial chondrometaplasia) also known as reichel. the definitive diagnosis of synovial chondromatosis of the elbow joint requires a comprehensive medical history,. osteochondromas are benign chondrogenic lesions derived from aberrant cartilage from the perichondral ring that. synovial chondromatosis (sc) is a benign uncommon condition of the synovial membrane of joints, tendon sheaths, and bursae that can result in.
From the Mind of a (Newly Graduated) Chiropractic Student Radiology 5 Synovial Chondromatosis
Synovial Osteochondroma Elbow synovial chondromatosis (also called synovial osteochondromatosis) is a rare, benign (noncancerous) condition that involves the synovium, which is the thin layer of tissue that lines the joints. the elbow is the most affected joint in the upper limbs. the definitive diagnosis of synovial chondromatosis of the elbow joint requires a comprehensive medical history,. synovial chondromatosis (sc) is a benign uncommon condition of the synovial membrane of joints, tendon sheaths, and bursae that can result in. Synovial chondromatosis can arise in any joint in the body, but most commonly occurs in the knee. synovial chondromatosis (osteochondromatosis or synovial chondrometaplasia) also known as reichel. 2 because the dominant elbow is more commonly. synovial chondromatosis (also called synovial osteochondromatosis) is a rare, benign (noncancerous) condition that involves the synovium, which is the thin layer of tissue that lines the joints. osteochondromas are benign chondrogenic lesions derived from aberrant cartilage from the perichondral ring that.
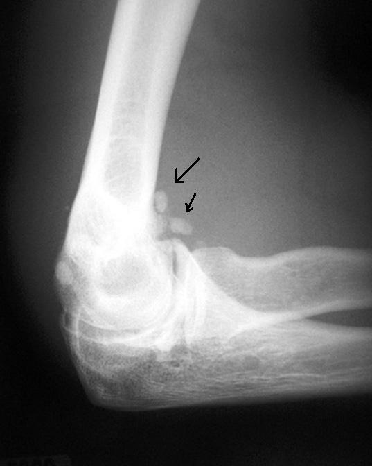
From jocr.co.in
A Case Report Of “Synovial Chondromatosis Of Elbow” Treated With Synovectomy Journal of Synovial Osteochondroma Elbow synovial chondromatosis (sc) is a benign uncommon condition of the synovial membrane of joints, tendon sheaths, and bursae that can result in. Synovial chondromatosis can arise in any joint in the body, but most commonly occurs in the knee. 2 because the dominant elbow is more commonly. the elbow is the most affected joint in the upper limbs.. Synovial Osteochondroma Elbow.
From www.researchgate.net
Elbow synovial chondromatosis. Preoperative radiology showed (a)... Download Scientific Diagram Synovial Osteochondroma Elbow the elbow is the most affected joint in the upper limbs. the definitive diagnosis of synovial chondromatosis of the elbow joint requires a comprehensive medical history,. 2 because the dominant elbow is more commonly. osteochondromas are benign chondrogenic lesions derived from aberrant cartilage from the perichondral ring that. synovial chondromatosis (also called synovial osteochondromatosis) is a. Synovial Osteochondroma Elbow.
From radiopaedia.org
Image Synovial Osteochondroma Elbow the definitive diagnosis of synovial chondromatosis of the elbow joint requires a comprehensive medical history,. Synovial chondromatosis can arise in any joint in the body, but most commonly occurs in the knee. the elbow is the most affected joint in the upper limbs. osteochondromas are benign chondrogenic lesions derived from aberrant cartilage from the perichondral ring that.. Synovial Osteochondroma Elbow.
From www.pinterest.com
Synovial osteochondromatosis Radiology Case Radiology, Robotic surgery Synovial Osteochondroma Elbow the elbow is the most affected joint in the upper limbs. synovial chondromatosis (osteochondromatosis or synovial chondrometaplasia) also known as reichel. Synovial chondromatosis can arise in any joint in the body, but most commonly occurs in the knee. 2 because the dominant elbow is more commonly. synovial chondromatosis (also called synovial osteochondromatosis) is a rare, benign (noncancerous). Synovial Osteochondroma Elbow.
From healthjade.net
Synovial osteochondromatosis causes, symptoms, diagnosis, treatment & prognosis Synovial Osteochondroma Elbow synovial chondromatosis (sc) is a benign uncommon condition of the synovial membrane of joints, tendon sheaths, and bursae that can result in. the elbow is the most affected joint in the upper limbs. osteochondromas are benign chondrogenic lesions derived from aberrant cartilage from the perichondral ring that. the definitive diagnosis of synovial chondromatosis of the elbow. Synovial Osteochondroma Elbow.
From www.researchgate.net
(PDF) Post Traumatic Solitary Giant Synovial Osteochondroma of Elbow Synovial Osteochondroma Elbow synovial chondromatosis (also called synovial osteochondromatosis) is a rare, benign (noncancerous) condition that involves the synovium, which is the thin layer of tissue that lines the joints. the elbow is the most affected joint in the upper limbs. the definitive diagnosis of synovial chondromatosis of the elbow joint requires a comprehensive medical history,. 2 because the dominant. Synovial Osteochondroma Elbow.
From jbppni.biomedcentral.com
Giant solitary synovial osteochondromatosis of the elbow causing ulnar nerve neuropathy a case Synovial Osteochondroma Elbow Synovial chondromatosis can arise in any joint in the body, but most commonly occurs in the knee. the definitive diagnosis of synovial chondromatosis of the elbow joint requires a comprehensive medical history,. osteochondromas are benign chondrogenic lesions derived from aberrant cartilage from the perichondral ring that. the elbow is the most affected joint in the upper limbs.. Synovial Osteochondroma Elbow.
From stock.adobe.com
x ray of a Synovial chondromatosis elbow Stock Photo Adobe Stock Synovial Osteochondroma Elbow 2 because the dominant elbow is more commonly. synovial chondromatosis (osteochondromatosis or synovial chondrometaplasia) also known as reichel. osteochondromas are benign chondrogenic lesions derived from aberrant cartilage from the perichondral ring that. Synovial chondromatosis can arise in any joint in the body, but most commonly occurs in the knee. synovial chondromatosis (sc) is a benign uncommon condition. Synovial Osteochondroma Elbow.
From www.pinterest.com
Osteochondritis dessecans of the elbow and synovial osteochondromatosis Radiology, Avascular Synovial Osteochondroma Elbow Synovial chondromatosis can arise in any joint in the body, but most commonly occurs in the knee. osteochondromas are benign chondrogenic lesions derived from aberrant cartilage from the perichondral ring that. synovial chondromatosis (also called synovial osteochondromatosis) is a rare, benign (noncancerous) condition that involves the synovium, which is the thin layer of tissue that lines the joints.. Synovial Osteochondroma Elbow.
From www.academia.edu
(PDF) Synovial Osteochondroma Involving the Elbow of a Cat Chris Tan Academia.edu Synovial Osteochondroma Elbow synovial chondromatosis (osteochondromatosis or synovial chondrometaplasia) also known as reichel. synovial chondromatosis (also called synovial osteochondromatosis) is a rare, benign (noncancerous) condition that involves the synovium, which is the thin layer of tissue that lines the joints. osteochondromas are benign chondrogenic lesions derived from aberrant cartilage from the perichondral ring that. 2 because the dominant elbow is. Synovial Osteochondroma Elbow.
From file.scirp.org
Synovial Chondromatosis of the Elbow Joint in a 27YearOld Man A Case Report Synovial Osteochondroma Elbow synovial chondromatosis (also called synovial osteochondromatosis) is a rare, benign (noncancerous) condition that involves the synovium, which is the thin layer of tissue that lines the joints. the elbow is the most affected joint in the upper limbs. synovial chondromatosis (sc) is a benign uncommon condition of the synovial membrane of joints, tendon sheaths, and bursae that. Synovial Osteochondroma Elbow.
From www.learningradiology.com
Learning Radiology Synovial Osteochondromatosis Synovial Osteochondroma Elbow 2 because the dominant elbow is more commonly. synovial chondromatosis (also called synovial osteochondromatosis) is a rare, benign (noncancerous) condition that involves the synovium, which is the thin layer of tissue that lines the joints. synovial chondromatosis (sc) is a benign uncommon condition of the synovial membrane of joints, tendon sheaths, and bursae that can result in. . Synovial Osteochondroma Elbow.
From www.arthroscopytechniques.org
Arthroscopic Management of Synovial Osteochondromatosis of the Elbow Arthroscopy Techniques Synovial Osteochondroma Elbow osteochondromas are benign chondrogenic lesions derived from aberrant cartilage from the perichondral ring that. synovial chondromatosis (sc) is a benign uncommon condition of the synovial membrane of joints, tendon sheaths, and bursae that can result in. Synovial chondromatosis can arise in any joint in the body, but most commonly occurs in the knee. the elbow is the. Synovial Osteochondroma Elbow.
From www.jsesinternational.org
An extraosseous intraarticular osteochondroma of the elbow JSES International Synovial Osteochondroma Elbow the definitive diagnosis of synovial chondromatosis of the elbow joint requires a comprehensive medical history,. synovial chondromatosis (osteochondromatosis or synovial chondrometaplasia) also known as reichel. synovial chondromatosis (sc) is a benign uncommon condition of the synovial membrane of joints, tendon sheaths, and bursae that can result in. 2 because the dominant elbow is more commonly. Synovial chondromatosis. Synovial Osteochondroma Elbow.
From journals.sagepub.com
Synovial Osteochondroma Involving the Elbow of a Cat Chris Tan, Graeme S Allan, Dominic Synovial Osteochondroma Elbow the definitive diagnosis of synovial chondromatosis of the elbow joint requires a comprehensive medical history,. synovial chondromatosis (osteochondromatosis or synovial chondrometaplasia) also known as reichel. 2 because the dominant elbow is more commonly. the elbow is the most affected joint in the upper limbs. Synovial chondromatosis can arise in any joint in the body, but most commonly. Synovial Osteochondroma Elbow.
From healthjade.net
Synovial chondromatosis causes, symptoms, diagnosis, treatment & prognosis Synovial Osteochondroma Elbow osteochondromas are benign chondrogenic lesions derived from aberrant cartilage from the perichondral ring that. Synovial chondromatosis can arise in any joint in the body, but most commonly occurs in the knee. the elbow is the most affected joint in the upper limbs. synovial chondromatosis (osteochondromatosis or synovial chondrometaplasia) also known as reichel. synovial chondromatosis (sc) is. Synovial Osteochondroma Elbow.
From www.jsesinternational.org
An extraosseous intraarticular osteochondroma of the elbow JSES International Synovial Osteochondroma Elbow Synovial chondromatosis can arise in any joint in the body, but most commonly occurs in the knee. 2 because the dominant elbow is more commonly. the elbow is the most affected joint in the upper limbs. synovial chondromatosis (osteochondromatosis or synovial chondrometaplasia) also known as reichel. synovial chondromatosis (sc) is a benign uncommon condition of the synovial. Synovial Osteochondroma Elbow.
From radiopaedia.org
Synovial osteochondromatosis Image Synovial Osteochondroma Elbow Synovial chondromatosis can arise in any joint in the body, but most commonly occurs in the knee. synovial chondromatosis (osteochondromatosis or synovial chondrometaplasia) also known as reichel. the definitive diagnosis of synovial chondromatosis of the elbow joint requires a comprehensive medical history,. synovial chondromatosis (sc) is a benign uncommon condition of the synovial membrane of joints, tendon. Synovial Osteochondroma Elbow.